上本町の歯周病治療|再発を防ぐ検査と再生療法にも対応

歯周病治療

こんなお悩みありませんか?

  • 歯ぐきが腫れる・出血するのに、治ってはまた繰り返す

  • 口臭が気になる/膿が出ることがある

  • 歯が浮く感じがする、グラつきが出てきた

  • 歯石を取ってもらっても、すぐ元に戻る気がする

  • 「抜歯が必要」と言われたが、できるだけ歯を残したい

  • 忙しくて通院回数を減らしたい(短期集中で進めたい)

著者:板山 明弘

歯周病治療の「繰り返し」に終止符を打ちませんか

歯周病は、進行すると歯がグラついたり歯茎が腫れたりするだけでなく、口臭や膿の発生の原因ともなる感染症です。多くの方が治療を繰り返しながらも再発に悩まされています。その大きな原因の一つが、歯科医院での「その場かぎり」の治療や、患者様自身の生活習慣の見直しが不十分であることです。
歯周病は「細菌」が原因で発生するため、根本的な改善には細菌のコントロールが必要不可欠です。そのため、「目に見える細菌」のみを対象にした処置だけでは、細菌バランスの崩れや目に見えない細菌への対策が十分ではなく、再発のリスクは高まるばかりです。
そこで当院では、以下のような「科学的」かつ「根本的」な治療アプローチを採用しています。

科学的根拠に基づいた治療プログラム

歯科医療は日々進歩しており、歯周病を予防する方法や、発症した場合にどのような処置を行えば改善できるのかといった治療法が科学的に実証されています。そのため、正しい方法を実践することで歯周病を防ぐことができ、さらに適切な治療を行えば改善する可能性があります。
歯周病治療で最も重要なのは、症状の原因である「歯周病菌」へ直接アプローチすることです。当院では、まず最初に患者様一人ひとりの状態を正確に把握するための徹底した検査を行い、歯周病の進行具合や歯質の状態、さらには歯周病にかかりやすいリスク要因などを詳しく分析します。
そして、得られたデータをもとに、それぞれの患者様に適切な科学的根拠に基づいた治療計画を作成します。このオリジナルの治療プログラムにより、それぞれの状態に合った最適な治療を行い、歯周病の予防と改善を目指します。

STEP 1口腔内の検査・分析
歯周ポケットの測定
虫歯感染部位がピンポイントでわかる「う蝕検知液」

歯周ポケットの測定は、歯周病の進行度を確認するために欠かせない検査です。歯科医院で「少しチクッとしますね」と言われながら歯茎を器具で軽く刺激された経験がある方もいるかもしれません。これは「プロービング」と呼ばれる検査で、歯と歯茎の間にある隙間(歯周ポケット)の深さを測定し、歯周病の状態をチェックするものです。
歯周病治療を効果的に進めるためには、歯周ポケットの測定を定期的に実施し、歯周病の状態を正確に把握する必要があります。

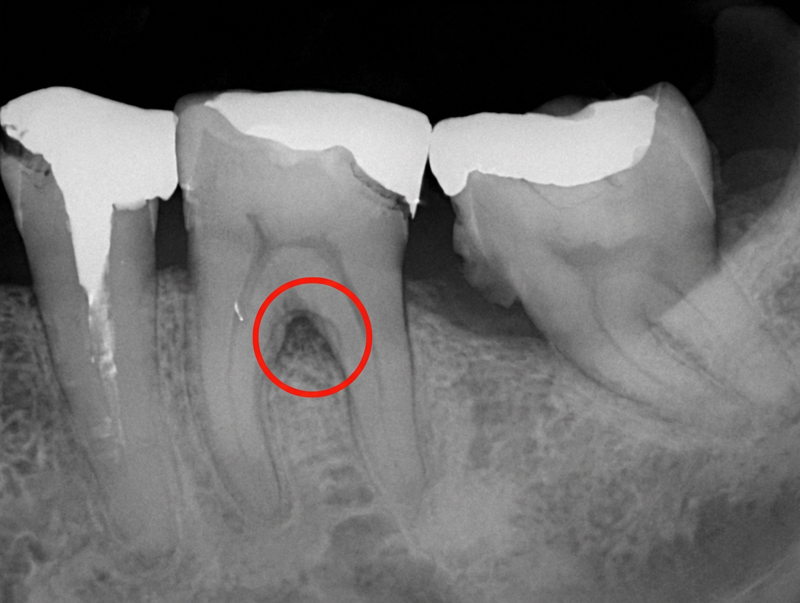
CT/レントゲン検査
CT/レントゲン検査

歯周病は顎の骨を溶かしてしまう病気です。その進行状況を正確に把握するために、CT検査を行います。CTは3Dで立体的な画像を撮影できる装置で、歯周病の進行度を詳しく調べることができます。

口腔内写真
口腔内写真

口腔内の状態を詳しく撮影し、磨き残しや噛み合わせ、歯並び、治療後の変化などを評価します。

STEP 2検査結果に基づいたオーダーメイドプログラムの構築

検査結果をもとに、患者様一人ひとりに合った治療プログラムを作成します。歯科医師は、お口の中の状態だけでなく、ライフスタイルや全身の健康状態も考慮しながら治療計画を立てます。
具体的な治療内容については、患者様に納得いただけるまで丁寧に説明し、勝手に治療を進めることはありません。安心して治療を受けていただけるよう、しっかりとしたコミュニケーションを大切にしています。

口腔内検査
口腔内検査
ブラッシング指導
ブラッシング指導
PMTC
PMTC
フッ素塗布
フッ素塗布
カウンセリング
カウンセリング
生活習慣の見直し
生活習慣の見直し

「歯周組織再生療法」の実施

重度の歯周病で歯がグラつくなどの症状がある場合は、一度溶けた骨を再生させる「歯周組織再生療法」を併用して治療を行います。この療法により、他院で「抜歯しかない」と診断されたような重度の歯周病でも、骨を再生することで抜歯を避けられる可能性があります。
当院で行っている「リグロス療法」「エムドゲイン療法」をご紹介します。

リグロス

「リグロス」は、近年厚生労働省に認可された保険適用で行える再生療法で、エムドゲインと同様の効果があります。主成分は成長因子「bFGF」というタンパク質で、プラークや歯石を取り除いた後、骨の欠損部分にリグロスを塗布し、歯を支える歯周組織の再生を促進します。

エムドゲイン

エムドゲイン「エムドゲイン」は、歯周病で溶けてしまった骨や歯根膜などの歯周組織を再生する治療法です。この療法では、「エムドゲイン・ゲル」という特殊なたんぱく質を歯の表面に塗布し、歯が生えてくるときと同じ環境を再現して歯周組織の再生を促します。
エムドゲインは、世界40カ国以上で使用される信頼性の高い治療法で、身体への悪影響もありませんので安心して受けられます。また、歯周病の進行で歯茎が下がり見た目が変わってしまった場合でも、顎の骨を再生することで歯茎が盛り上がり、見た目の改善も期待できます。

  • 治療内容

  • 重度の歯周病によって破壊された歯周組織をエムドゲイン・ゲルという薬剤を使用して、再生させる治療法。

  • 費用

  • 1歯あたり66,000円

  • リスク/副作用

  • ●外科手術に伴い、腫れや痛みが一時的に生じることがある。

    ●完全に組織が元通りになるわけではない。

    ●組織が再生するまで数か月程度かかる(個人差あり)。

    ●手術後、出血や神経麻痺、血管損傷、腫れやあざが発生するリスクがある。

    ●喫煙している方は期待通りの効果を得られない場合がある。

    ●歯肉が引き締まることで、被せ物と歯肉の間に段差が目立つことがある。

その他、下記に該当する方は治療ができないことがございますのでご了承ください。

※歯や骨の状態によって、手術が適さない方
※糖尿病や心筋梗塞、脳梗塞などの持病が進行している方
※放射線治療を受けている方やステロイド剤を使用している方
※妊娠中または授乳中の方
※喫煙者の方

重度の歯周病では、歯石が奥深い部位にまで蓄積していることが多く、通常の治療では対応が難しいことがあります。そのため、こうした症状には「歯周外科治療」と呼ばれる外科的処置が必要になります。

FOP法(歯肉剥離掻爬術)

FOP法(歯肉剥離掻爬術)歯茎に隠れている歯石を除去するFOP法(歯肉剥離掻爬手術)は、歯茎を切開して歯の根を露出させ、奥深くの歯石までしっかり取り除き、歯周病の改善を目指す治療法です。

ルートセパレーション

ルートセパレーション根分岐部病変とは、歯の根の分かれ目にまで歯周病が進行した状態を指します。歯と歯茎の間に隙間があり、この部分に歯石がたまると通常の器具では届きません。
このような場合、歯を縦に割って隙間をクリーニングする「ルートセパレーション」という方法を用いることがあります。歯石除去後には、歯に被せ物をして見た目を回復させますので、ご安心ください。
※歯科医師の診断により、保存が難しいと判断される場合もございます。

患者様が納得されるまで説明します

患者様が納得されるまで説明します歯周病治療は、他の治療に比べて患者様の協力が特に必要です。患者様にご協力いただくためには、歯周病についての理解と、口腔内の現状を把握してもらうことが重要だと考えています。
当院では、CT撮影による骨の状態の報告や、術前術後の状態を写真でお見せするなど、さまざまな情報提供ツールを活用して、患者様が納得できるまで丁寧に説明を行っています。

歯科衛生士担当制

歯科衛生士は単なる歯科医師のアシスタントではなく、歯周病や虫歯から歯を守る治療を行うことができるスペシャリストです。
当院では、「歯科衛生士担当制」を導入し、患者様に専属の歯科衛生士がつきます。この制度により、患者様のデータを一貫して管理し、治療からその後のケアまでしっかりサポートします。同じ歯科衛生士が担当することで、歯磨き指導や歯周病の再発防止が効果的に行え、日常生活の習慣についても的確なアドバイスを提供できます。また、当院には日本歯周病学会認定の「歯周病認定医」が在籍しており、歯科医師と歯科衛生士が密接に連携することで、医院全体のレベル向上に努めています。

短期集中治療に対応

歯周病治療には継続的な治療が重要ですが、忙しくて通院が難しい方には、ライフスタイルに合わせた治療計画をご提案します。当院では「短期集中治療」を行っており、ポイントは「1回の治療時間を長く取る」ことと、「精密機器のフル活用」です。
治療前に検査を行い、治療の全体の工数を明確にしたうえで、通常は何度か通院が必要な治療を1回でまとめて行います。また、CTなどの精密機器を使用することで、治療時間と期間を短縮し、効率的に治療を進められます。歯周病だけでなく、歯科治療全般に関しても、通院回数を減らしたい方には最適な治療方法をご提案します。少しでも不安な点があれば、どんな些細なことでもお気軽にご相談ください。
※短期集中治療は保険適用外となりますので、ご希望の際は事前にご相談ください。

「セカンドオピニオン」にも対応

「セカンドオピニオン」にも対応当院は、歯周病治療においてセカンドオピニオンにも対応しています。
重度の歯周病でもできるだけ歯を残すための治療を提案していますので、「再発を繰り返している」「治療が進展しない」「抜歯を勧められた」などのお悩みがある方は、まずは当院にご相談ください。

コラム

口臭の原因のほとんどは歯周病が起因していた

口臭について気にされたことはありますか?
意外にも自分の口臭は気づきにくく、デリケートな問題なので、他人の口臭が不快に感じられる経験があってもなかなか指摘しづらいものです。もし指摘された場合でも、口臭の原因が分からなければ、どう対処すれば良いのか分からないこともあります。口臭の原因は主に次の3つのタイプに分けられます。

  • 生理的口臭朝起きたときや空腹時・月経時・緊張時などに起こる口臭です。これは誰にでもあるものですが、年齢が進むにつれて唾液の分泌が減少すると、症状が強く出ることもあります。

  • 心因的口臭口臭を気にするあまり、実際には臭わないのに口臭があると思い込んで悩むことです。これを「自臭症」といいます。

  • 病的口臭歯周病や口腔内の問題が原因で起こるものです。この口臭の改善には、歯科医師の専門的な治療が必要となります。

実は、多くの口臭の原因は「病的口臭」、特に歯周病によるものです。歯周病が進行すると、膿が溜まり悪臭を放つようになります。さらに、歯周ポケットが4ミリ以上深くなると、強烈な口臭を引き起こすメチルメルカプタンという物質が多く発生します。
このようなことから、歯周病を改善することは、口臭の改善につながるといえます。口臭でお悩みの方は、ぜひ当院にご相談ください。

歯周病と全身疾患の関係性

これまで歯周病はお口の中だけの問題と考えられてきましたが、最近の研究では、歯周病が全身にも影響を与えることが分かっています。その中でも特に歯周病と関連が深いとされているのが「糖尿病」「心臓病」「早産」です。
他にも「肺炎」「脳卒中」などとの関連性が指摘されています。歯周病は歯を失う原因だけでなく、「命に関わるリスク」も引き起こす可能性がある病気だという認識が重要です。

  • 糖尿病との関連重度の歯周病の人は、軽度の人に比べて2年後に糖尿病が悪化するリスクが5倍高くなるといわれています。

  • 心臓病との関連歯周病菌が作る物質が血液中に流れ、動脈硬化を引き起こし、心筋梗塞や狭心症の原因となる可能性があります。健康な人に比べ、心臓病の発症リスクは2.8倍高いとされています。

  • 早産・低体重児との関連歯周病が進行している妊婦は、低体重児を出産するリスクが高く、歯周病を放置すると早産の確率が増加することがあります。