上本町の審美セラミック|銀歯を白く自然に、見た目と噛み心地を両立

審美セラミック

こんなお悩みありませんか?

  • 銀歯が笑ったときに見えて気になる

  • 前歯の色や形が不揃いで写真が苦手

  • 昔の差し歯の黒ずみ・境目が目立ってきた

  • 詰め物の変色やすき間、二次虫歯が心配

  • 歯が欠けた・すり減ったのを自然に直したい

  • 金属アレルギーが不安でメタルフリーにしたい

著者:板山 明弘

銀歯の見た目・違和感を変える、白さと耐久性を追求する審美セラミック治療で安心

審美セラミックは、銀歯の目立ちや金属特有の暗さを改善し、自然な白さと透明感のある口元を目指す治療です。見た目だけでなく、噛み合わせや適合精度にも配慮し、汚れが付きにくい素材選びや丁寧な調整で長持ちをサポートします。詰め物・被せ物・歯の形やすき間の改善など、お悩みとご希望に合わせてプランをご提案します。セレッソ オーラルケア クリニック 大阪天王寺院へお気軽にご相談ください。

審美セラミック治療とは?

審美セラミック治療とは、詰め物や被せ物を使用して「歯の色」「形」「歯並び」を美しく整える治療法です。この治療は、患者様が抱える口元のコンプレックスを解消し、より自信を持った笑顔を手に入れることを目的としています。実際、「治療後に人生が一変した」「周囲から表情が明るくなったと言われた」「夢だったキャビンアテンダントを目指せる勇気が湧いた」といった喜びの声をいただくこともあります。

また、審美セラミック治療とホワイトニングを混同される方もいらっしゃいますが、これらは異なる治療法です。審美セラミック治療は、歯を削り、被せ物を装着することで美しい見た目と長期的な白さを維持します。一方でホワイトニングは、薬剤を使って歯を白くする治療で、歯を削らずに自然な白さを実現しますが、色戻りがある場合があります。
どちらにもメリットとデメリットがあるため、治療法を選ぶ際は本ページを参考にしつつ、担当医とじっくり相談されることをお勧めします。ホワイトニングについて詳しく知りたい方は「ホワイトニングページ」をご覧ください。

補綴指導医在籍で高レベルの治療をご提案

歯科治療にどんなイメージを抱いているでしょうか。痛いムシバを治す、放っておくと怖い歯周病の治療とメンテナンス、咬み合わせを調整する、など人それぞれの印象をお持ちのことと思います。そのような中で、笑顔を取り戻す、笑顔をより素敵にする審美歯科治療をご紹介いたします。

ホワイトニング:歯の色を明るくします。
セラミッククラウン:歯にかぶせる冠のなかで金属を使わない方法です。自然な色調が得られます。
接着ブリッジ:欠損した歯とその両隣の歯をつなげるブリッジ治療の中で、歯をあまり削らずに治療する方法です。
ラミネートべニア:変色、形成不全など色や形が気になる歯の表層(エナメル質)だけを削って薄いシェルを接着する治療です。

素敵な笑顔を取り戻し、生き生きとした日常生活を過ごしていただけることが我々の喜びですので、そのために必要な歯科治療をご提案いたします。どうぞお気軽にご相談ください。

資格・所属

  • 日本補綴歯科学会専門医・指導医

  • 日本顎関節学会専門医・指導医

  • 埼玉県国民健康保険診療報酬審査委員会委員

  • 東洋大学評議員、倫理審査委員会委員

日本補綴歯科学会専門医・指導医 藤澤 政紀
日本補綴歯科学会専門医・指導医

藤澤 政紀

審美歯科統括・指導Dr
新宿医院在籍

口元の「美の方程式」

審美セラミック治療とは、白い詰め物や被せ物を利用して美しい歯を手に入れる治療ですが、専門家の視点では「歯本来の機能を回復させ、綺麗な歯にすること」が目的であり、単に見た目を整えるだけの治療ではありません。なぜなら、美しさだけを追求すると、場合によっては食べ物をしっかり噛めなくなったり、原因不明の頭痛や腰痛など、体の不調を引き起こすリスクがあるからです。そのため、審美セラミック治療では「機能性」の回復・維持を大前提とし、その上で「審美性」を追求することが重要です。

当院では、経験豊富なドクターと歯科技工士が連携し、一人ひとりの口元に最適な審美セラミック治療を提供しています。どんな小さなお悩みでもお気軽にご相談ください。時間をかけて丁寧にお話を伺い、患者様にとって最適な治療をご提案いたします。これから当院が大切にしている「美の方程式」についてご紹介いたします。

方程式1完成形をイメージする「シミュレーション」

完成形をイメージする「シミュレーション」審美セラミック治療は「美」を追求する繊細な治療です。そのため、患者様が「せっかく治療したのにイメージと違う」と感じることがないよう、当院では治療前のカウンセリングを徹底し、各工程で患者様のご要望を丁寧に伺いながら治療を進めています。具体的な方法として、模型やレントゲンなどから読み取った情報をもとに作成した「仮の歯」を患者様のお口の中に装着します。この仮歯は、歯が無い期間をなくすためだけに装着するものではなく、次のような目的を達成するために行う重要なステップとなります。

完成形をイメージする「シミュレーション」患者様にも実際の色や形、バランスを確認していただき、気になる点や問題があればその都度調整を行います。ドクターだけでなく患者様も納得のいく状態になるまで何度も改善を繰り返し、すべての問題が解決したら、最終的に仮歯をセラミック素材に置き換え、患者様の理想を反映した歯を完成させます。
ここで重要なのは、事前の検証や患者様のご要望を無視して治療を進めることは絶対に避けるべきだということです。そのような治療は「運だめし」と変わらず、本来の治療とは言えません。仮歯を用いて丁寧に検証し、問題があれば都度改善を重ねる。このプロセスをしっかり踏むことで、理想的な詰め物や被せ物が完成するのです。

方程式2「10の美の基準」

審美セラミック治療は、単に白く美しい人工歯を作るだけではありません。当院では、次の10の基準に基づいて治療を行い、患者様に最適で調和の取れたオリジナルの歯を実現します。これらの基準をすべて考慮することで、見た目の美しさだけでなく、機能性や個々の口元に合った自然な仕上がりを追求しています。治療を通じて、患者様の笑顔に自信を与える唯一無二の歯をお届けします。

  • 歯の形態

    歯の形態

    歯の形態1つで口元のイメージが変化します。カウンセリングで得られた情報をもとに、患者様に適した形態を決定します。

  • 顔貌との調和

    顔貌との調和

    体の中心を通る「正中線」に上下の歯の中心が揃うことで、顔全体と口元のバランスが整います。

  • 性別

    性別

    男性・女性で理想とされている歯の形があり、その中でもさらに細分化されます。

  • 唇との調和

    唇との調和

    唇との調和も重要で、笑ったときに上の歯の縁を結ぶラインが美しさに影響します。このラインが緩やかな弧を描くと女性らしさが強まり、水平に近づくほど男性的な印象になります。

  • 歯の特徴付け

    歯の特徴付け

    歯は想像以上に複雑な形をしています。この形に近づけることで、天然歯と見分けがつかないような自然な仕上がりを実現できます。

  • 肌の色

    肌の色

    肌の色とバランスをとりながら、美しく見える色の濃淡・深み・明度・彩度を微調整していきます。

  • 年齢

    年齢

    人それぞれ好みはありますが、一般的には年齢に応じた歯の形や色があります。それに近づけることで、より自然で調和の取れた口元を演出できます。

  • バリエーション

    バリエーション

    審美セラミック治療で用いる素材は様々なものがあります。お口の状態・患者様の理想により、それらを使い分けます。

  • 歯の配列・位置

    歯の配列・位置

    形・色だけでなく、お口全体のバランスを考えた歯の配列・位置も大切になります。

  • 相対的歯冠長

    相対的歯冠長

    黄金比率(1.6、1.0、0.6)に基づき、配列を計算しながら治療を行うことで、バランスのとれた整合性のある形を追求します。

理論的な美とは?

この「美の基準」は理論的に確立されており、その条件に従って治療を進めることで、自然で美しい口元を実現できます。当院では、まず患者様のご要望を最優先に考えますが、プロとして第三者の目線からアドバイスも行い、無責任に患者様の希望だけを受け入れることはありません。私たちは理論的な美を創造し、患者様に最適な治療をご提案いたします。

  • Point 1下唇と前歯の「アーチ」

    下唇と前歯の「アーチ」

    ニコッとほほ笑んだときに下唇と前歯のアーチが一致すると、美しさが際立ちます。著者: 山崎長郎 クインテッセンス出版: エステティック クラシフィケーションズ より引用

  • Point 2前歯の並びに存在する”黄金比”

    前歯の並びに存在する”黄金比”

    「ゴールデンプロポーション」といわれる前歯の並びに存在する黄金比があり、具体的には「中切歯(1.618)」「側切歯(1)」「犬歯(0.618)」の配列です。この配列にすることで、前歯の印象が非常に美しくなります。

  • Point 3正中線=前歯の真ん中

    正中線=前歯の真ん中

    顔の中心を通る「正中線」と前歯の中心を合わせることで、顔全体のバランスが整います。嚙み合わせのズレも影響するため、歯並びだけでなく、噛み合わせの調整も考慮してトータルで治療を行います。

  • Point 4歯茎の自然な美しさ

    歯茎の自然な美しさ

    歯と歯茎の調和は、自然な美しさに欠かせません。適切なバランスを考慮することで、健康的で自然な口元を実現します。

方程式3繊密な治療工程~機能性の回復

審美セラミック治療は美しさを追求するものですが、見た目だけを重視するのではなく、「噛む」という歯本来の機能性も考慮した治療計画が必要です。その理由は、審美セラミック治療によって「噛み合わせ」が変わることがあり、これを考慮せずに治療を進めると、あごの疲れや肩こり、腰痛、頭痛などを発症することがあるからです。そのため、たとえ1本の歯を治療する場合でも、お口全体のバランスや機能性を考えた治療が大切です。

  • 歯肉圧排
    歯肉圧排

    土台と被せ物の適合性を高めるために、非常に重要な工程です。

  • シリコン印象
    歯肉圧排

    印象材には「アルジネート」と「シリコン」があり、当院ではより精密に型取りができるシリコン印象材を使用しています。

  • 咬合採得
    歯肉圧排

    正しい噛み合わせを再現するための、必要不可欠な過程です。熟練した歯科医師が行うことで、口腔内に装着する際の調整時間を短縮することができます。

方程式4「審美セラミック治療の匠」歯科技工士

詰め物や被せ物の作製は、歯科医師ではなく歯科技工士が行います。そのため、優れた技工物を作るためには、歯科医師の技術だけでなく、歯科技工士の技術も非常に重要です。当院には、高度な技術を持つ歯科技工士が常駐しており、精度の高い技工物をご提供しています。

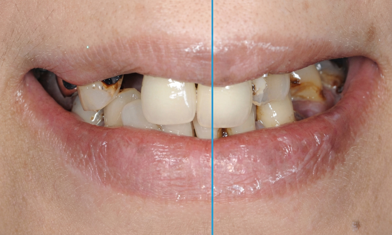
方程式5お口全体を俯瞰し、適切な美を創造する「総合治療」

完成形をイメージする「シミュレーション」総合治療とは、お口全体の美しさ、健康、バランス、機能性を考慮した治療のことです。例えば、画像のような患者様から「前歯2本を白く美しくしたい」というご要望があった場合、当院では、その2本だけにセラミックの被せ物をすることはありません。なぜなら、前歯2本だけを真っ白にすると、その2本だけが浮いてしまい、全体的な美しさが損なわれるからです。口元の美しさは部分的な美しさだけではなく、全体のバランスを考えることが大切です。

また、お口の状態によっては、審美セラミック治療ではなく、矯正治療や歯肉形成外科、インプラント治療が必要になる場合もあります。患者様のご要望をしっかり伺い、全体美を考慮した最適な治療法をご提案します。

審美治療の流れについて

当院では、患者様の気持ちを無視して治療を進めることはありません。しかし、歯科医師の最終的なゴールと患者様のゴールが異なると、満足のいく治療ができないと考えています。そのため、治療前のカウンセリング、模型を使ったイメージ確認、仮歯でイメージを具体化するなど、各プロセスで細かい部分を確認しながら治療を進めます。

また、審美治療では「歯が白すぎる」や「自分に似合わない」といったギャップが生じることがあります。万が一イメージと違うと感じた場合は、遠慮なくお知らせください。納得いくまでイメージの調整を行います。

POINT01.

「治療前」の専門的なカウンセリング

カウンセリングでは、患者様の審美に関する具体的なお悩みやご希望をじっくりと伺います。そして、患者様のご要望を理解したうえで、私たちは専門家として最適なアドバイスをさせていただきます。

POINT02.

治療開始前の「セットアップ模型」によるイメージのすり合わせ

セットアップ模型(予測模型)とは、最終的な歯や歯茎をイメージできる模型のことで、歯の形や大きさ、噛み合わせなどを確認します。実際に模型で確認できることで、理想の形がよりイメージしやすくなります。もし、この時点で違和感があれば、遠慮なくお知らせください。

POINT03.

「仮歯装着」によるイメージの具体化

理想の形が決定したら、「仮歯」を装着してさらにイメージを具体化し、患者様の理想とずれがないかの確認を行います。

不快感の少ない「デジタルスキャナー」の歯型取り

当院では、歯型を取るための機械「デジタルスキャナー」を導入しています。先端部のカメラを口内に入れて撮影することで、短時間で型取りが完了し、嘔吐反射がある方でも不快感が少ない点が魅力です。また、術者の技術に関わらず、正確なデータが取れるため、精度の高い被せ物を提供することができます。

体に優しい「メタルフリー治療」

当院では、患者様が長期間安心して使用できるよう、金属アレルギーの心配がなく、体に優しい素材で作られた被せ物を選んでいます。特に「ジルコニアセラミック」と「オールセラミック」は、その耐久性と美しい見た目で高く評価されており、優劣をつけるのは難しいほど、それぞれにメリットがあります。

ジルコニアセラミック

ジルコニアセラミックジルコニアセラミックは、内側にジルコニア、外側にセラミックを使用した被せ物です。ジルコニアは人工関節にも使われるほど耐久性が強いのが特徴で、噛み合わせで大きな負担がかかりやすい奥歯でも使用できます。

オールセラミック

オールセラミックセラミックは陶器とほとんど同じ成分でできていて、透明感が強く、天然歯のような自然な仕上がりになります。

当院には、その他にも多数の材質があります。興味のある方は、是非お問い合わせください。

あなたに適した審美セラミック治療は?

審美セラミック治療は、歯の「色」だけでなく、「形」「歯並び」の改善も可能です。当院で治療した症例をご紹介しますので、治療後のイメージの参考にしてください。

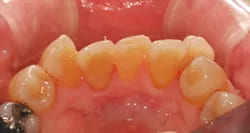
お悩み銀歯の色が気になる

このようなご要望にはセラミック素材の「詰め物(インレー)」や「被せ物(クラウン)」をおすすめします。

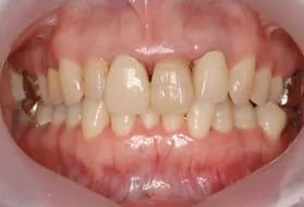
銀歯の詰め物をセラミック素材の詰め物に差し替えた症例1

  • BEFORE

    銀歯の詰め物をセラミック素材の詰め物に差し替えた症例1
  • AFTER

    銀歯の詰め物をセラミック素材の詰め物に差し替えた症例1

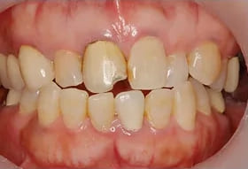
銀歯の詰め物をセラミック素材の詰め物に差し替えた症例2

  • BEFORE

    銀歯の詰め物をセラミック素材の詰め物に差し替えた症例2
  • AFTER

    銀歯の詰め物をセラミック素材の詰め物に差し替えた症例2

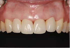
お悩み歯の隙間が気になる

歯の隙間を改善する方法として「矯正治療」をイメージされる方も多いかと思いますが、審美セラミック治療でも対応が可能です。

オールセラミッククラウン法で「歯の白さ」と「歯の隙間」を改善した症例

  • BEFORE

    オールセラミッククラウン法で「歯の白さ」と「歯の隙間」を改善した症例
  • AFTER

    オールセラミッククラウン法で「歯の白さ」と「歯の隙間」を改善した症例

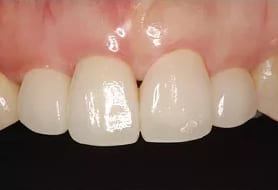
お悩み歯の形が気になる

審美セラミック治療では「歯の形」も変化させることができます。

オールセラミッククラウン法で「歯の白さ」と「歯の形」を改善した症例

  • BEFORE

    オールセラミッククラウン法で「歯の白さ」と「歯の形」を改善した症例
  • AFTER

    オールセラミッククラウン法で「歯の白さ」と「歯の形」を改善した症例

歯の形や大きさは、微妙な違いによって、その人の印象が大きく変わることがあります。当院では、この点を考慮し、患者様に最適な提案と治療を行っています。

  • ナチュラル型
    ナチュラル型

    日本人に多いタイプで、前歯の先端が直線上にある歯とない歯が混在しています。自然な歯並びといえます。口を小さく見せる効果もあり、若々しい印象を与えます。

  • ストレート型
    ストレート型

    白人に多いタイプの歯並びで、前歯の先端が全て直線上にあるので、口元をくっきりと強調することができます。

  • クローズ型
    クローズ型

    日本人の女優さんに多いタイプの歯並びです。前歯の先端は全て直線上にありますが、歯と歯に多少の重なりがあることが特徴です。出っ歯を直したい人、女性的な印象をもっと強調したいという人に向いていると言われます。

  • スマイルライン型
    スマイルライン型

    下唇のラインと前歯のラインが並行になっているのが特徴です。世界的に好まれる並びで、ハリウッドスマイルとも呼ばれています。

お悩み天然歯の色が気になる

タバコ、コーヒー、お茶、ワイン、カレーなど飲食物には着色しやすいものがあります。審美セラミック治療でも対応可能ですが、より手軽にできるものに「ホワイトニング(薬剤を使った治療)」や「PMTC(専門器具を用いたクリーニング)」がありますのでそちらをご紹介します。

ホワイトニングの症例

  • BEFORE

    ホワイトニングの症例
  • AFTER

    ホワイトニングの症例

PMTCの症例

PMTCとは特殊な器具を用いて、歯の着色汚れや、歯周病・虫歯の原因となる歯垢・歯石を除去する治療です。歯本来の白さを回復でき、かつ、虫歯・歯周病予防につながります。詳しくは歯のメンテナンスページをご参照ください。

PMTCの症例

  • BEFORE

    PMTCの症例
  • AFTER

    PMTCの症例

「理想的な美しさ」を一緒に目指す治療

患者様の理想の口元を実現するためには、歯科医師だけでなく患者様自身の協力も欠かせません。例えば、歯茎が腫れた状態では最終的な被せ物を装着することが難しく、歯茎の炎症を改善するためには、患者様が日々のセルフケアを徹底する必要があります。
このように、歯科医師と患者様が同じ目標に向かって協力し合うことで、より満足のいく治療が実現します。また、当院では治療後も定期検診やアフターケアを通じて、長期的なサポートを行っています。

理想と現実を埋めるためのコミュニケーション

当院の審美治療では、患者様とのコミュニケーションを大切にしています。治療のゴールは「患者様の満足」です。当院ではまずは患者様のご要望をしっかり受け止め、その上でプロとして客観的な美についてアドバイスを行い、納得のいく治療を進めます。
初診時のカウンセリングでは、歯の色味や形など、患者様の希望をしっかりとお聞きしてから治療を開始します。まずはお気軽にご相談ください。