上本町の入れ歯治療|痛い・外れる・噛めないを根本から改善

入れ歯

こんなお悩みありませんか?

  • 入れ歯が痛くて、食事がつらい

  • 外れやすい・カタつくせいで会話に自信がない

  • 噛むと入れ歯が浮いて、うまく噛み切れない

  • 入れ歯の見た目(バネ・金具)が気になる

  • 何度調整しても違和感がなくならない

  • 入れ歯かインプラントか迷っている

著者:板山 明弘

入れ歯にお悩みがある方へ

私たちの手が加わることで、今までしっかり噛むことができなかった入れ歯が「噛みやすい入れ歯」に生まれ変わります。それにより、患者様の生活が豊かになり、「食事」の楽しみが大きく向上する。このような入れ歯製作は非常にやりがいを感じます。

私たちは「自分がされて嬉しい治療」、「家族にしてあげたい治療」という想いを持ちながら、日々診療を行っています。ここでは、当院の入れ歯が患者様から高く評価される理由をご紹介します。

失敗しない入れ歯作りの提案

入れ歯は丁寧に時間をかけて作ることで、良いものが出来上がります。良い入れ歯を作るためには、私たちの技術が重要ですが、患者様の協力も欠かせません。良い入れ歯を作るには、診査や診断、型取り、噛み合わせの採取など多くの工程が必要だからです。
この協力をいただければ、私たちは心を込めて、患者様に満足いただける適切な入れ歯を作り上げることをお約束します。

患者様に支持される「理由」

私たちの手が加わることで、今までしっかり噛むことができなかった入れ歯が「噛みやすい入れ歯」に生まれ変わります。それにより、患者様の生活が豊かになり、「食事」の楽しみが大きく向上する。このような入れ歯製作は非常にやりがいを感じます。
私たちは「自分がされて嬉しい治療」、「家族にしてあげたい治療」という想いを持ちながら、日々診療を行っています。ここでは、当院の入れ歯が患者様から高く評価される理由をご紹介します。

一つ一つの工程を省略することなく、基本に忠実に

入れ歯を使用されている方からよく「痛い」「噛めない」「外れる」といったお悩みを聞きますが、これらは「1つ1つの工程を省略せず、基本に忠実に入れ歯を作る」ことで解消できます。

まずは精密な型取りが非常に重要で、入れ歯の仕上がりはこの段階で決まります。型取りは、お口の型を取る工程であり、ここがしっかりしていないと患者様に合う入れ歯は作れません。そこで当院では、精密な型取りを行うため、次のような工程を踏んでいます。

  • シリコン印象材の利用※保険外治療のみ

    印象材といわれる型取りに使用する材料は、主に2種類あります。当院ではより精密に型を取ることができるシリコン印象材を使用しています。

  • 個人トレー※保険外治療のみ

    患者様のお口の形に合わせて、規格外のオリジナルトレーを作製し、精密な型を取ります。

  • ティッシュコンディショニング

    食事をしたり、お話をしたり、運動をしたりする際、お口の状態や動きはそれぞれ異なります。どんな場面でも快適に入れ歯を使用していただくためには、ただの型取りだけでは不十分です。これを解決するために当院では、「ティシュコンディショニング」という工程を取り入れています。
    この工程は、現在使っている入れ歯に特別な素材「ティッシュコンディショナー」を装着するもので、一定期間その入れ歯を使っていただきます。そうすることで、日々の生活の中でお口の動きや舌の動き、噛み癖などが反映されます。その情報をもとに新しい入れ歯を作成するので、様々な場面で快適に使用できる入れ歯が完成します。この工程は「良い入れ歯」を作るために非常に重要です。

  • 年齢による「噛み合わせの変化」も考慮した入れ歯作り

    お口の状態は年齢を重ねるごとに変化するため、この変化を考慮した入れ歯作りがとても大切です。変化するのは「歯」だけでなく、「歯茎」や「噛み合わせ」、「筋肉の動き」なども含まれます。これらの状態を無視して入れ歯を作ると、患者様に満足いただける入れ歯は作れません。
    当院では、特に「噛み合わせ」に関して重要な取り組みを行っています。噛み合わせのバランスが取れていないと、入れ歯が「外れる」「痛い」「噛めない」といった問題を引き起こします。これらを解決するために、患者様の噛み合わせをしっかりと調整し、最適な入れ歯を提供しています。

willis法

虫歯感染部位がピンポイントでわかる「う蝕検知液」の写真これは、歯科での入れ歯や補綴治療において、噛み合わせを調整するための方法の一つです。具体的には、「目のライン」「鼻のライン」「唇のライン」が直線になるように噛み合わせを調整します。この方法によって、噛み合わせが改善されるだけでなく、顔全体のバランスも整い、さらに噛み合わせが原因で生じていたシワやタルミも改善されます。

「多種類」の入れ歯をご用意

入れ歯に関するお悩みは「見た目が気になる」「痛みが我慢できない」「外れやすい」など患者様によって異なります。現代の入れ歯は、素材や性能に多くのバリエーションがあり、患者様のニーズやライフスタイルに合わせて選ぶことができます。当院では、保険の入れ歯だけでなく、効果が実証されているさまざまな種類の入れ歯をご提供しています。

  • 若い人も愛用の「審美」入れ歯
    若い人も愛用の「審美」入れ歯
  • 痛みを感じにくい入れ歯
    痛みを感じにくい入れ歯
  • 自分の歯のように咬みやすい入れ歯
    自分の歯のように咬みやすい入れ歯
  • 歴史と安定性がある入れ歯
    歴史と安定性がある入れ歯

若い人も愛用の「審美」入れ歯

ノンクラスプデンチャー

ノンクラスプデンチャー女性の方からよく聞かれる入れ歯のお悩みは、「金属のバネが見えるのが嫌」というものです。笑ったときに金属のバネが見えてしまい、人前で笑えないという方も多いのではないでしょうか。そこで当院では、金属のバネがない「ノンクラスプデンチャー」を推奨しています。
この入れ歯は、入れ歯を固定する部分が金属ではなく、ピンク色の樹脂なので、人前で話していても気づかれにくい点が特徴です。さらに、柔らかい樹脂でできており、お口にぴったりと装着できるため、従来の金属による痛みも軽減されます。

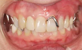
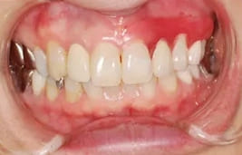
ノンクラスプデンチャーを用いた症例

  • BEFORE

    ノンクラスプデンチャーを用いた症例
  • AFTER

    ノンクラスプデンチャーを用いた症例
  • BEFORE

    ノンクラスプデンチャーを用いた症例
  • AFTER

    ノンクラスプデンチャーを用いた症例

エステショット

エステショットエステショットは、「調整や修理がしやすい」「劣化しにくい」「噛みやすい」のが特徴のノンクラスプデンチャーです。審美性と機能性の両立を求める方におすすめです。

スマイルデンチャー

スマイルデンチャー「入れ歯の装着感が苦手」「前歯が欠損している」という方には、スマイルデンチャーが適しています。通常のノンクラスプデンチャーより薄い素材で作られているため、付け心地がよく、笑ったときにほとんど目立たないというメリットがあります。

バルプラスト

スマイルデンチャーバルプラストは、歯科先進国であるアメリカで50年以上の歴史がある入れ歯です。その実績から、多くの歯科医師と患者様から高い評価があり、使い心地の良さが証明されています。

オプションノンクラスプデンチャー+金属

スマイルデンチャー「ノンクラスプデンチャー+金属」は、ノンクラスプデンチャーの耐久性の欠点を補う組み合わせです。目立たない部分に金属部品を使用することで、使い心地はそのままに、耐久性をしっかり確保します。

オプションノンクラスプデンチャー+シリコン

スマイルデンチャー耐久性と付け心地をさらに追求するなら「ノンクラスプデンチャー+シリコン」がおすすめです。強度と弾力性に優れたシリコンをノンクラスプデンチャーの裏側に貼り付けることで、固いものもしっかり噛めるようになります。

「痛み」を感じにくい入れ歯

シリコンデンチャー

シリコンデンチャー「入れ歯で噛むと痛い」という方には、シリコンデンチャーをおすすめします。入れ歯と歯茎の接触による痛みが生じにくく、吸着力が優れているため、顎の骨が痩せている方でもズレにくいという特徴があります。クッション性が抜群で、従来のノンクラスプデンチャーにはないフィット感と付け心地があり、総入れ歯にも対応可能です。

「自分の歯」のようにしっかり噛みやすい入れ歯

インプラント+入れ歯の「インプラントオーバーデンチャー」

インプラント+入れ歯の「インプラントオーバーデンチャー」入れ歯で食べ物を噛みにくい理由は、固定が不安定で「顎の噛む力」を十分に伝えにくいためです。インプラントオーバーデンチャーは、2~4本のインプラントを埋入し、現在使用している入れ歯を安定させます。これにより、自分の歯のようにしっかり噛むことができ、取り外しが可能でお手入れがしやすいこともメリットです。

  • 費用(インプラント埋入本数による)

  • 総入れ歯:880,000円~
    部分入れ歯:725,000円~ (税込)

  • リスク/副作用

  • 細菌の感染、多量の出血に加え、歯肉弁やインプラント周囲組織の壊死などのリスクがある。また、インプラントを埋める際のドリリングやインプラント体の埋入の際に、下歯槽神経や上顎洞を傷つけてしまう可能性がある。

「歴史」と「安定性」がある入れ歯

金属床

金属床当院では、コバルトクロム素材を使った金属床の入れ歯を提供しています。コバルトクロムは、軽さや熱伝導性に優れており、清潔で美しい状態を長く保つことができます。また、アレルギー反応を起こしにくいという特徴もあります。従来の入れ歯との比較を以下に解説します。

  • 軽い

    保険の入れ歯は重いため咀嚼時に負担がかかりますが、金属床義歯は約1/4の重さの軽い材料を使用します。

  • 薄い

    金属床義歯は、保険の入れ歯に比べて約1/6の厚さの薄い材料を使い、お口の中での不快感を減らします。

  • 食べ物の温もりを感じやすい

    食べ物の温かさや冷たさを感じにくい保険の入れ歯に対し、金属床義歯は温度を感じやすい材料を使用し、味覚にも影響を与えます。

  • 他の健康な歯に過度な負担を掛けない

    保険の入れ歯は「たわみ」があり、噛む力で歯に過度な負担がかかりますが、金属床義歯はたわみが少なく、歯に優しい作りです。

自費診療の入れ歯のリスク・副作用について

入れ歯を支える天然歯に負荷がかかることがあります。
※使用状況によっては、入れ歯が破損することがあります。
※入れ歯の作製の前に、残存歯の治療が必要になる場合があります。
※入れ歯の作製にあたって、残存歯を削ったり抜歯することがあります。
※金属製の入れ歯は、金属アレルギーのリスクがあります。
※装着後、慣れるまで時間がかかることがあります。
※入れ歯を長時間外したままにすると、残存歯が傾いたり、歯ぐきの骨が下がることがあります。
※噛み合わせや顎の位置の変化、または固定している歯が摩耗したり抜けた場合、修理や調整が必要になることがあります。
※定期的なメンテナンスが必要です。

理想の入れ歯作りを実現するしくみ

患者様の理想的な入れ歯を提供するためには、歯科医師の技術だけでなく、設備や歯科技工士との連携も非常に重要です。当院が多くの患者様に満足いただける理由は、精密な分析を行うための「CT」を活用し、さらに優れた歯科技工士と緊密に連携しているからです。

顎や筋肉の動きを把握する「CT分析」

顎や筋肉の動きを把握する「CT分析」当院では「CT装置」を用いて、患者様の顎の状態や筋肉の動きを立体的に分析しています。この精密なデータは、入れ歯の作製に不可欠で、より精度の高い入れ歯作りに役立っています。

歯科技工士との連携

入れ歯の製作は歯科技工士によって行われるため、その技術力は非常に重要です。国内の歯科技工所で製作、管理を行なっております。歯科医師と歯科技工士が密に連携し、患者様の要望や細かなニュアンスをしっかりと反映させます。

世界にただ一つ「オーダーメイド」の入れ歯

良い入れ歯とは、噛めることだけではなく、見た目の美しさも大切です。入れ歯一つで顔の印象が大きく変わり、特に口元の膨らみが足りないと、シワが目立ち、年齢が上に見えることがあります。そのため当院では、患者様一人一人に合わせて、歯の色、形、大きさ、そして前歯の見え方などをデザインしています。
細かい部分まで患者様が納得できるように、何度も修正を繰り返し、世界に一つだけのオーダーメイドの入れ歯を作製します。また、理想的な歯並びを教えていただければ、治療がスムーズに進みます。

  • ナチュラル型
    ナチュラル型

    前歯の先端の一部が直線上にある、日本人に多くみられるスタンダードな歯並びです。「口が小さく見える」「若く見える」といったメリットがあります。

  • ストレート型
    ストレート型

    前歯の先端がすべて直線上にあり、くっきりとした印象を与えます。さわやかな笑顔を手に入れたい方にお勧めです。

  • クローズ型
    クローズ型

    日本人の女優さんなどに多く見られる歯並びの「クローズ型」。女性的な印象を与えることができるスタイルです。

  • スマイルライン型
    スマイルライン型

    通称「ハリウッドスマイル」とも呼ばれる「スマイルライン型」。ニコッと笑うと、下唇と前歯のラインがキレイに並行になります。

これで、入れ歯作りを最後にしましょう

「これまでに何個入れ歯を作ってきたかわからない…」という方もいらっしゃるかもしれません。また、長く使っている入れ歯は、年齢に伴い噛み合わせや形状が変わり、次第に合わなくなります。入れ歯の「痛い」「合わない」「外れる」「噛めない」といったトラブルには必ず原因があり、当院ではその小さな問題も見逃さず、一つ一つ丁寧に改善していきます。
食事や会話をあきらめる必要はありません。経験豊富な歯科医師と歯科技工士が、あなたの「理想の入れ歯」をお作りします。どんなお悩みでもお気軽にご相談ください。